autodealersconf.ru
Разделы
  • Магия кадра
  • Палитра воспоминаний
  • Тайные перспективы
  • Грани света
  • Дыхание момента
  • Записки из объектива


Популярные посты
Температурные режимы в ПЦР: что нужно знать
Пошаговая инструкция по снятию бампера на Сонате ТАГАЗ
Обзор блока управления Candy g04w264: функции и возможности
Телекоммуникации: Профессии и Специальности
Эволюция Конституции: сравнительный анализ по годам
Главная » Грани света »

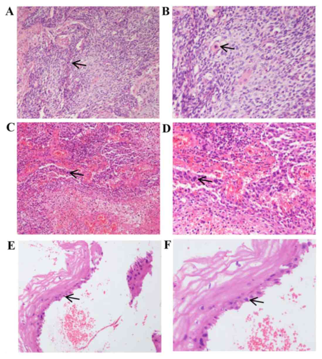
Биоптат почки: Морфологические исследования в фотографиях

Грани света


Copyright © 2010 - 2025 | Контакты