autodealersconf.ru
Разделы
  • Магия кадра
  • Палитра воспоминаний
  • Тайные перспективы
  • Грани света
  • Дыхание момента
  • Записки из объектива


Популярные посты
Математика: Условия квадратного уравнения
Анализ ассортимента: ключевые показатели
Улыбка и стиль: радостные мужчины в костюмах
Знакомство с жизнью и традициями школы номер 5 в Пугачеве
Как меняются тарифы на электроэнергию: графики и аналитика
Главная » Грани света »

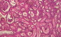
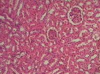
Гистологический срез почки: изучаем микроструктуру

Грани света


Copyright © 2010 - 2025 | Контакты