autodealersconf.ru
Разделы
  • Магия кадра
  • Палитра воспоминаний
  • Тайные перспективы
  • Грани света
  • Дыхание момента
  • Записки из объектива


Популярные посты
Цифра 1 в стиле Босс-молокосос: Креативные идеи для оформления
Забота о здоровье: КТГ двойни в норме
Модули программного обеспечения: Как работают и зачем нужны
Основные приметы художественных стилей: от классики до модерна
Причины аддиктивного поведения: исследование
Главная » Палитра воспоминаний »

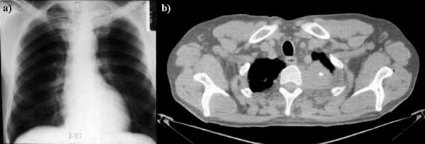
Медицина в деталях: Синдром Панкоста и диагностика

Палитра воспоминаний


Copyright © 2010 - 2025 | Контакты